SMILE MAKEOVER

Uw weg naar een perfecte glimlach

Op deze pagina maken wij u bekend met alle stappen die komen kijken bij een smile makeover. Elke stap is zorgvuldig ontworpen om te garanderen dat wij kunnen leveren wat u voor ogen heeft. Ons doel is om u en uw persoonlijkheid te leren kennen voordat we beginnen met enig restauratief werk.

Eerste gesprekken, fotografie, digitaal smile design, diagnostische mock-ups en proefopstellingen met verschillende tijdelijke restauraties zijn slechts enkele van de vele stappen die we nemen om zeker te zijn dat we u de glimlach kunnen geven waar u echt van houdt.

In ons proces zijn patiënten een integraal onderdeel van het team — geen geweldig werk kan worden verricht zonder een nauwe samenwerking en wederzijds begrip.

O N S   W E R K P R O C E S

Smile Makeover Workflow
1

E E R S T E   C O N S U L T   &   D O C U M E N T A T I E

Ons proces begint met een kennismaking tussen u en ons team. Dit opent een gesprek om uw wensen en verlangens te begrijpen. Hier worden volledige documentatie en foto's gemaakt zodat wij uw gezicht, glimlach en persoonlijkheid kunnen analyseren.

Eerste Consult - Documentatie
2

S T U D I E   &   O N T W E R P

We gebruiken alle verkregen documentatie om de casus zorgvuldig te bestuderen en te ontwerpen. Vaak beginnen we ons smile makeover proces met een (ortho) restauratieve mock-up om onze visie met u te delen, voordat enige behandeling wordt uitgevoerd.

Studie & Ontwerp - Voor en Na Studie & Ontwerp - Digital Smile Design
3

P R E P A R A T I E   O P   B A S I S   V A N
D I A G N O S T I S C H E   W A X - U P

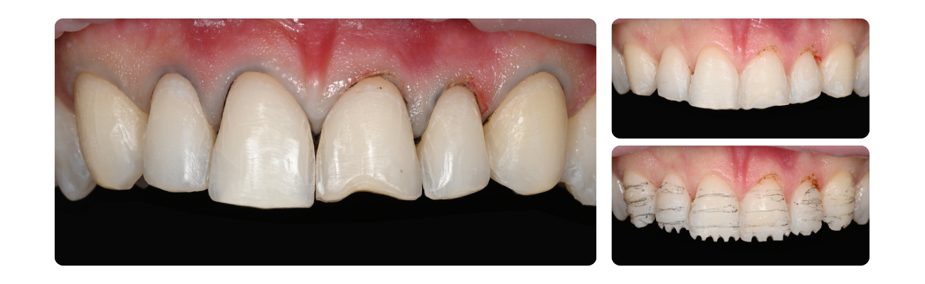
Zodra ons definitieve ontwerp is bevestigd door het team en door u, voeren we minimaal invasieve preparatie van de tanden uit via een additieve mock-up. Dit stelt ons in staat om alleen te verwijderen wat nodig is voor het uiteindelijke keramiek. Onze filosofie draait om tandbehoud. Less is more.

Preparatie - Diagnostische Wax-up
4

T I J D E L I J K E   R E S T A U R A T I E S

De tijdelijke fase is een van de belangrijkste stadia van elke smile makeover voor ons team. Dit is een kans voor u om het ontwerp dat we in gedachten hebben te dragen en ermee te leven. Hier is ons doel om een gesprek te openen voor eventuele wijzigingen en te bereiken wat u werkelijk gelukkig maakt voordat we beginnen met het fabriceren van de keramische restauraties.

Tijdelijke Restauraties
5

D E F I N I T I E V E   P L A A T S I N G   V A N
K E R A M I S C H E   R E S T A U R A T I E S

We hebben een zeer grondig proces voor de plaatsing van de definitieve keramische restauraties. Deze stap wordt uitgevoerd onder rubberdam-isolatie (tenzij gecontra-indiceerd) om maximale hechtsterkte te bereiken en een schone omgeving te creëren voor de bonding-stappen. De meeste van onze tandheelkundige procedures worden uitgevoerd onder rubberdam-isolatie — de voordelen zijn talrijk. Vraag ons waarom tijdens uw volgende bezoek!

Definitieve Plaatsing - Keramische Restauraties
6

E I N D R E S U L T A A T   &   D O C U M E N T A T I E

Na de plaatsing van de definitieve restauraties voeren we meerdere weefselcontroles uit om de gezondheid van het tandvlees te waarborgen. Deze afspraken gaan gepaard met definitieve foto's van ons werk — het meest bevredigende deel van dit proces.

Eindresultaat & Documentatie

ONZE LOCATIE

SLOTERWEG 1160
1066 CV AMSTERDAM

ROUTEBESCHRIJVING
Cephalometric Analysis

Klaar voor uw nieuwe glimlach?

Maak een afspraak voor een persoonlijk esthetisch consult

PLAN EEN CONSULT
ALGEMENE TANDHEELKUNDE COSMETISCH & RESTAURATIEF